×
FREE CONSULTATIONS – CALL NOW

815.398.9700

Hablamos Espanol
compensation
Workers Compensation

We consistently obtain substantial
settlements without a lengthy trial.

compensation
Personal Injury

Maximizing your
injury compensation.

compensation
Wrongful Death

Helping you pursue a claim against the other
party’s insurance company for your loss.

Menu
Search

Recent News

Home / Blog / Automobile Accidents / Traumatic Brain Injuries and Car Accidents in Illinois

Categories

Archives

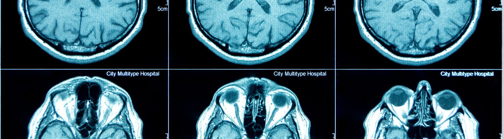
Traumatic Brain Injuries and Car Accidents in Illinois
Brassfield & Krueger, Ltd.
tw gp

Traumatic Brain Injuries and Car Accidents in Illinois

Motor vehicle accidents can leave victims with serious injuries, including the potential for a traumatic brain injury. Also called TBIs, traumatic brain injuries are often caused by motor vehicle accidents. Many people think about brain injuries as occurring from sports or even military injuries, but the truth is that auto accidents are also a major source of brain injury-related hospital visits. If you or a loved one suffered a brain injury in an auto accident due to someone else’s negligence, you need to contact a Rockford traumatic brain injury attorney.

Types of Traumatic Brain Injuries

Traumatic brain injuries can range from mild to severe. A concussion is one of the most common types of brain injuries. Sometimes the symptoms are so minor you may not even realize you have a head injury right after the accident. Many people fully recover from a concussion, especially if the concussion is mild. 

Some accident victims can suffer a bruise or bleeding on the brain, which is known as a contusion. These are common when the head suffers a direct hit. If the contusion is large, it may need surgical intervention to remove it. 

One of the most serious types of brain injuries is a coup-contrecoup, where the brain is violently jerked around within the skull. Another serious type of brain injury involves penetration to the brain itself. These types of injuries happen when the brain is penetrated by an object, like a knife or a bullet. When something penetrates the brain, it can cause your brain tissue to rupture or tear.

Symptoms of Traumatic Brain Injuries in Illinois 

The severity of your symptoms will provide medical professionals with some idea of the extent of your injuries. Diagnostic testing will need to be completed to confirm your traumatic brain injury.  Some potential symptoms include:

  • Loss of consciousness
  • Confusion
  • Dizziness and nausea
  • Vomiting
  • Personality changes
  • Slurred speech
  • Headaches
  • Fatigue or lethargy
  • Amnesia about facts surrounding the accident
  • Seizures
  • Coma
  • Mood disturbances
  • Sleep pattern disturbances
  • Loss of bowel or bladder movement
  • Skull fracture
  • Blurred vision
  • Tinnitus

Symptoms in serious brain injury cases can include open wounds, blood draining from your nose or ears, difficulty walking, repeated episodes of nausea and vomiting, convulsions, and more. Severe brain injuries can even leave victims in a vegetative state for an undetermined amount of time.

Treatment for Traumatic Brain Injury Patients

Treatment for brain injuries will vary based on the severity of the injury itself. Some injuries may resolve on their own with rest, while others will need invasive treatment like a decompressive craniectomy, in which a surgeon goes in to remove a section of the bone to relieve intracranial pressure. 

Contact a Rockford Personal Injury Attorney 

If you suffered a brain injury in an auto accident, let an experienced Rockford brain injury attorney help you get the compensation you deserve. Contact Brassfield & Krueger, Ltd. today to schedule an initial consultation.

Related News

People often joke about poor road conditions, like the pothole on their street that seems to have its own zip…Read More

Los profesionales de litigio confiables y con amplia experiencia de Brassfield & Krueger, Ltd., en Rockford, se encuentran actualmente investigando una grave…Read More

It all happened so fast. One moment, your child was laughing and playing in the yard, and the next, they…Read More

Categories

Archives

Schedule A Free No Obligation Consultation

For your convenience, we have offices in Rockford and Streator.